寵物小知識
Jack’s Case – 小貓辛巴
返回
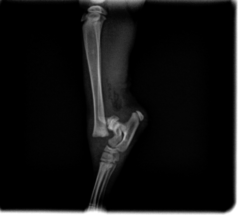
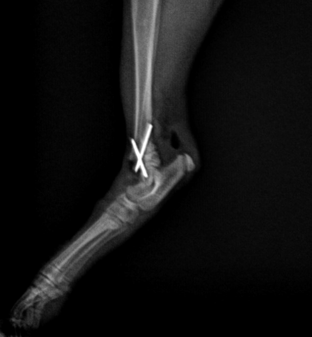
辛巴是一隻流浪小貓。在2016年12月被發現在垃圾收集站被狗咬傷,令他的右後腿嚴重骨折,傷口亦很深。善良的社工黃先生找到了他,並聯絡了Jack’s Veterinary。我們的獸醫Dr. Vincent Tse為了救回他,第一時間安排辛巴做手術。鰂魚涌獸醫診所的Dr. Jason Yew得知這個個案後,也很樂意借出手術房和設備。
![]() |
![]() |
手術前後的X光片對比,手術前可見明顯骨折,手術用鋼釘固定骨折位置
辛巴穩定後,兩位醫生很快就替他進行手術。手術非常順利。他在康復期間恢復得非常快。現在他長大了一點,走路跑步沒有任何問題,非常活躍。最高興的是,他後來獲一位非常愛錫他的主人收養,命名為辛巴。

康復中的辛巴
我們感謝社工黃先生、Dr. Jason Yew和鰂魚涌獸醫診所的所有護士,為辛巴奉獻出寶貴時間。
這是我們2016年最好的聖誕禮物。

